Loading...
Tin tức  Góc tư vấn

Lấy cao răng để làm gì? Lấy cao răng có đau không?

20:22 | 04/05/2024
Lấy cao răng giúp loại bỏ những mảng bám cứng đầu có trên bề mặt thân răng. Ngăn ngừa những tình trạng như viêm nướu, viêm nha chu, tụt lợi và lung lay rang. Lấy cao răng sẽ không đau nếu đi lấy cao răng thường xuyên.

Lấy cao răng để làm gì? Lấy cao răng có đau không?

Cao răng là những mảng bám chứa vi khuẩn gây tụt lợi, hôi miệng và là nền tảng của các bệnh lý răng miệng khác? Vậy lấy cao răng để làm gì? Lấy cao răng có đau không? Hôm nay hãy cùng các bác sĩ Nha Khoa Yota giải đáp thắc mắc về lấy cao răng.

1. Lấy cao răng để làm gì?

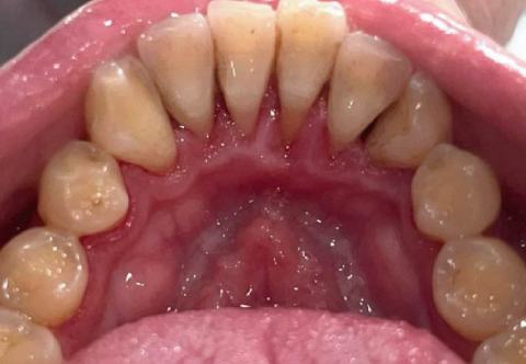
Cao răng là gì

lấy cao răng để làm gì ảnh 1
Cao răng (hay vôi răng) là sự tích tụ của mảng bám và khoáng chất từ nước bọt làm đông cứng lại. Cao răng là các phần bao phủ ở thân răng và có thể xâm lấn ở dưới đường lợi. Không chỉ gây mất thẩm mỹ mà cao răng còn là nơi chứa nhiều vi khuẩn gây hại cho sức khỏe. Vậy lấy cao răng để làm gì?

Tại sao phải lấy cao răng

Cao răng thường có màu trắng đục với người bình thường và màu nâu thẫm đối với người hút thuốc. Các tác hại mà cao răng ảnh hưởng đến sức khỏe răng miệng như:
- Hơi thở có mùi hôi thối
- Mảng bám tích tụ nhiều là môi trường cho vi khuẩn sâu răng phát triển làm phá hủy men răng. Lâu ngày khiến nguy cơ sâu răng rất cao. Hiện nay thì đến 90% con người mắc các bệnh về răng miệng
- Cao răng gây ra các bệnh: viêm niêm mạc, viêm họng, viêm amidan
- Bị chảy máu chân răng, ê buốt khi ăn đồ ăn quá nóng hoặc quá lạnh
- Gây viêm nướu, viêm nha chu, lung lay răng, tiêu xương ổ răng và có thể gây mất răng
Vậy nên khi khách hàng đi lấy cao răng định kỳ thường xuyên sẽ giảm được các tình trạng nêu trên.

2. Lấy cao răng có đau không?


Lấy cao răng có đau không phụ thuộc vào 2 yếu tố:

Tình trạng cao răng

Đối với những bệnh nhân thường xuyên đi lấy cao răng thì việc lấy cao răng sẽ rất là bình thường, như đánh răng ở nhà bình thường vậy. Còn đối với những khách hàng lần đầu tiên đi lấy cao răng họ thường có tâm lý sợ nha khoa nên lần đầu sẽ cảm giác hơi ê ê nhưng dần dần sẽ quen. Những khách hàng mà cao răng nhiều đã gây ra các bệnh lý thì có thể sẽ hơi ghê một chút.

Tay nghề bác sĩ

Tay nghề kỹ thuật viên lấy cho mình ảnh hưởng rất lớn đến vấn đề lấy cao răng có đau không. Nếu như không có quy trình lấy cao răng và phác đồ điều trị chuẩn y khoa thì có thể trong quá trình lấy cao răng sẽ làm đau bệnh nhân. Những người mới làm không có những quản lý giám sát cũng như vậy. Cho nên các khách hàng nên chọn những cơ sở nha khoa uy tín được Sở Y Tế cấp phép là yên tâm nhất. Ở đó có đầy đủ bác sĩ và công nghệ hỗ trợ làm, đảm bảo an toàn nhất cho mình.

3. Lấy cao răng có làm trắng răng không

Lấy cao răng chỉ là phương pháp loại bỏ các mảng bám xung quanh răng, không phải tẩy trắng răng nên lấy cao răng không thể làm trắng răng. Quy trình lấy cao răng làm giảm các nguy cơ mắc các bệnh về sâu răng và viêm nướu, vậy nên lấy cao răng chỉ giúp trắng lên được một phần. 
lấy cao răng để làm gì ảnh 2
Sau khi lấy cao răng xong các bác sĩ sẽ sử dụng những vật liệu chuyên dụng để làm sạch cũng như đánh bóng lại chiếc răng. Tác dụng là để loại bỏ những mảng bám còn dư thừa và làm bề mặt răng trông trắng sáng hơn. Đối với những khách hàng hay sử dụng chất kích thích như rượu bia thuốc lá thì gần như lấy cao răng sẽ không có hiệu quả làm trắng răng.

4. Quy trình lấy cao răng

lấy cao răng để làm gì ảnh 3
Bước 1: Kiểm tra sức khỏe
Đây là bước bắt buộc phải khai thác thông tin bởi khách hàng có thể bị những bệnh như máu khó đông, đái tháo đường ... sẽ chống chỉ định lấy cao răng. Khám răng xem khách hàng đang ở cao răng độ mấy và phân tích được cho khách hàng hiểu.
Bước 2: Vệ sinh răng
Trước khi lấy cao răng sẽ được vệ sinh sạch sẽ, giảm nguy cơ nhiễm khuẩn trong quá trình lấy. 
Bước 3: Lấy cao răng
Dùng các đầu máy siêu âm để bóc tách cao răng ra khỏi thân răng và phần lợi. Trong quá trình lấy có thể chảy máu nếu cao răng của khách hàng quá nhiều và ăn sâu xuống phần chân răng. Những các bạn cứ yên tâm sau khi về ăn uống vệ sinh chăm sóc thì một thời gian phần lợi sẽ hoàn toàn bình thường trở lại.
Bước 4: Đánh bóng răng
Sau khi lấy cao răng xong các bác sĩ sẽ dùng vật liệu chuyên dụng để đánh bóng trên các bề mặt răng
Bước 5: Hướng dẫn cách chăm sóc
Quá trình lấy cao răng hoàn thiện các bác sĩ sẽ dặn dò, hướng dẫn cách bạn cách chăm sóc răng miệng để có một hàm răng chắc khỏe hơn cũng như nhắc nhở định kỳ 3 - 6 tháng nên đi lấy cao răng 1 lần.

5. Lấy cao răng bao nhiêu tiền

lấy cao răng để làm gì ảnh 4
Hầu hết hiện nay các phòng khám nha khoa hay bệnh viện thì đều có dịch vụ lấy cao răng. Hiện nay giá lấy cao răng sẽ dao động từ 30.000 - 200.000 tùy chiến lược giá của những phòng khám. Các yếu tố ảnh hưởng đến chi phí lấy cao răng:
Mức độ cao răng: tùy thuộc mức độ cao răng nhiều hay ít và một số phòng khám sẽ có chiến lược giá khác nhau
Đối tượng: Trẻ em vệ sinh răng miệng sẽ rẻ hơn người lớn
Đơn vị thực hiện: Có những phòng khám nha khoa đầu tư vào con người, máy máy, cơ sở hạ tầng thì giá lấy cao răng sẽ chênh lệch hơn chút

6. Giải pháp hạn chế cao răng

lấy cao răng để làm gì ảnh 5
Sau khi lấy cao răng thì 1 tuần sẽ hình thành mảng bám và sau 2 tuần sẽ hình thành cao răng trở lại. Sự xuất hiện của cao răng gây ra mùi hôi khó chịu, gây mất thẩm mỹ khiến bệnh nhân tự ti ngại giao tiếp với người khác. Cao răng cũng là các nền tảng của các bệnh lý về răng miệng vậy nên:
- Hạn chế thức uống có ga và đồ ăn có nhiều dầu mỡ
- Hạn chế thức ăn có chứa chất tạo màu, khó vệ sinh và dễ bám vào chân răng như bánh kẹo dẻo
- Tuân thủ định kỳ 1 năm đi lấy cao răng 2 lần
- Đánh răng ít nhất 2 lần 1 ngày và sử dụng những sản phẩm hỗ trợ như nước súc miệng, nước muối loãng
- Chọn những bàn chải mềm và loại kem đánh răng phù hợp với bản thân mình, ưu tiên sử dụng sản phẩm có chứa Flour
Vừa rồi thì các bác sĩ của Nha Khoa Yota đã chia sẻ cho các bạn bài viết lấy cao răng để làm gì và lấy cao răng có đau không, nhìn cung việc lấy cao răng cũng như mình đi khám sức khỏe tổng quát định kỳ nên các bác sĩ khuyến cáo 2 năm lấy cao răng một lần để bảo vệ sức khỏe răng miệng của mình.

 

Các tin khác

[TƯ VẤN] 3 vật liệu TRÁM BÍT HỐ RÃNH chống sâu răng

[TƯ VẤN] 3 vật liệu TRÁM BÍT HỐ RÃNH chống sâu răng

Trám bít hố rãnh giúp chống sâu răng bởi các bệnh răng miệng thường không tự khỏi, và đặc biệt các bệnh răng miệng khi phát sinh thường không có dấu hiệu xảy ra.
(28/04/2024)
9 trường hợp không nên bọc răng sứ bạn nên biêt

9 trường hợp không nên bọc răng sứ bạn nên biêt

Bọc răng sứ là phương pháp thẩm mỹ được ưa chuộng nhất hiện nay, nhưng có những trường hợp không nên bọc răng sứ như là răng nhạy cảm, răng lung lay hoặc răng bị hô vẩu nặng.
(06/05/2024)
Hàn răng sâu cho bé giá bao nhiêu

Hàn răng sâu cho bé giá bao nhiêu

Nha khoa Yota chuyên răng trẻ em, nha khoa sẽ không còn là nỗi đáng sợ đối với bé cũng như bố mẹ.  Nỗi băn khoăn bây giờ của phụ huynh chỉ là hàn răng sâu cho bé giá bao nhiều.
(14/04/2024)
Hàn răng sâu xong bị đau nhức

Hàn răng sâu xong bị đau nhức

Việc hàn răng sâu xong bị đau nhức sẽ hết sau 1,2 ngày do ban đầu mới hàn răng chúng ta chưa quen, nếu vấn đề đau nhức kéo dài chúng ta nên đi đến để được các bác sĩ thăm khám cũng như có phương pháp điều trị.
(24/04/2024)
Hàm giữ khoảng là gì? Bạn biết gì về hàm giữ khoảng

Hàm giữ khoảng là gì? Bạn biết gì về hàm giữ khoảng

Hàm giữ khoảng cải thiện tình trạng mất răng cho bé. Cải thiện chức năng ăn nhai, phát âm lẫn thẩm mỹ. Vậy hàm giữ khoảng là gì và phụ huynh tại sao cần tìm hiểu hàm giữ khoảng cho bé. Hãy cùng Nha Khoa Yota tìm hiểu vấn đề này.
(20/06/2024)
Nhổ răng khôn kiêng gì và ăn gì để không đau, nhanh khỏi

Nhổ răng khôn kiêng gì và ăn gì để không đau, nhanh khỏi

Nhổ răng khôn cần giữ chế độ ăn uống theo chỉ định của bác sĩ để quá trình hồi phục lành thương diễn ra nhanh hơn. Cần kiêng ăn những đồ ăn quá dai và cứng, đồ ăn cay nóng và chất kích thích.
(09/05/2024)
Hàn răng có bền không

Hàn răng có bền không

Cam kết hoàn tiền 100% nếu khách hàng không hài lòng. Trong quá trình bảo hành hàn răng mà có những vấn đề bong bật ra hàn lại hoàn tiền miễn phí không mất tiền.

(15/04/2024)
Có nên đi lấy cao răng? Thời gian, chi phí và những lưu ý

Có nên đi lấy cao răng? Thời gian, chi phí và những lưu ý

Lấy cao răng là cần thiết bởi cao răng là nền tảng của các bệnh lý. Có nên đi lấy cao răng thường xuyên không? Định kỳ 3 - 6 tháng nên đi lấy 1 lần để răng miệng của mình chắc khỏe nhất.
(03/05/2024)
So sánh trước và sau niềng răng thay đổi như thế nào

So sánh trước và sau niềng răng thay đổi như thế nào

Niềng răng là xu hướng thẩm mỹ được ưu tiên hiện nay, cái răng cái tóc là góc con người vậy nên nụ cười đẹp trước và sau khi niềng răng là kết quả của sự nỗ lực của bác sĩ và bệnh nhân suốt hành trình.
(05/05/2024)
Bầu có hàn răng được không

Bầu có hàn răng được không

Thời điểm bà bầu hàn răng được lý tưởng nhất sẽ là 3 tháng giữa của thai kỳ, việc hàn răng là cần thiết để tránh việc sâu răng phát triển quá lớn vào tủy và ngăn ngừa được vi khuẩn sâu răng tấn công.
(22/04/2024)
[GIẢI ĐÁP] Có nên nhổ răng khôn khi đang bị đau

[GIẢI ĐÁP] Có nên nhổ răng khôn khi đang bị đau

Nhổ răng khôn khi đang đau nhức là điều cần thiết, những phiền toái do răng khôn gây ra như lung lay răng số 7 và đặc biệt là viêm hôi miệng khiến bản thân mình tự ti. 
(01/05/2024)
Quý khách vui lòng để lại thông tin, chúng tôi sẽ liên hệ ngay!