Loading...
Tin tức

Chụp Răng Thép Cho Bé Giá Bao Nhiêu

07:07 | 19/04/2024
Giá chụp thép răng sữa sẽ phụ thuộc vào kinh tế cũng như nhu cầu của phụ huynh. Nhìn thấy con ăn nhai được và phát triển về cả sức khỏe lẫn tinh thần của bé cũng thoải mái hơn khi loại bỏ cơn đau do sâu răng gây ra vậy nên chụp thép răng sữa giá bao nhiêu sẽ không là vấn đề với bố mẹ. Hãy cùng chúng tôi tìm hiểu những kiến thức về chụp thép răng sữa.

1. Vai trò của chụp thép răng cho bé

Giá chụp thép răng sữa ảnh 1
Chụp thép răng sữa sẽ:
- Giúp các con duy trì hàm răng sữa đầy đủ phòng trường hợp mất răng khó ăn uống
- Giúp đảm bảo chức năng ăn nhai, phát âm.
- Bảo vệ răng sữa, giúp hạn chế mắc phải các bệnh lý phát sinh từ vấn đề vệ sinh răng miệng.
- Tránh làm bong các miếng trám lớn, nhiều mặt, bảo vệ răng đã điều trị tủy không bị vỡ trong quá trình ăn nhai của trẻ.
- Mang đến hàm răng đều đẹp cho trẻ, giúp trẻ tự tin trong giao tiếp.

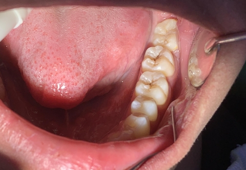
2. Chụp thép răng cho bé có ảnh hưởng gì không

Ngoài việc thắc mắc chụp răng thép cho bé giá bao nhiêu thì các phụ huynh còn lo lắng chụp thép răng sữa có ảnh hưởng gì đến hàm răng của con không. Việc chụp thép sẽ không ảnh hưởng gì đến quá trình thay răng, răng thép sẽ thay cùng răng sữa trong quá trình mọc răng vĩnh viễn.
Giá chụp thép răng sữa ảnh 2
Với các lợi ích như: bảo vệ và nâng đỡ mô răng, độ thẩm mỹ cao, chống oxy hóa trong miệng, thích hợp cho răng sâu kẽ còn tủy. Chụp răng sữa cho bé được kiểm chứng và chứng nhận không gây kích ứng cho răng và an toàn trong khoang miệng hoàn toàn không ảnh hưởng gì đến con nên bố mẹ có thể yên tâm.

3. Chụp răng thép cho bé giá bao nhiêu

Giá chụp thép răng sữa ảnh 3
Chi phí chụp thép răng sữa tùy thuộc vào chất liệu, lợi ích và chế độ bảo hành đi kèm. Giá chụp răng thép cho bé sẽ dao động từ khoảng 600.000 - 2.500.000 rất phù hợp với chi phí của phụ huynh. Bởi chất liệu khá phổ biến ngoài xã hội và quá trình chế tác đơn giản nên nên bố mẹ có thể yên tâm về chụp thép răng sữa cho con. 

4. Quy trình chụp thép răng sữa cho trẻ

Làm việc đúng quy trình sẽ giúp cả y bác sĩ lẫn khách hàng thấy được rõ phương án xử lý, các bước thực hiện và kết quả theo từng giai đoạn. Việc chụp thép bảo vệ răng sữa cho con rất quan trọng nên y bác sỹ sẽ áp dụng đúng quy trình và tuân thủ theo tiêu chuẩn của bộ Y Tế. 
- Bước 1: Các y bác sĩ sẽ tiến hành thăm khám tổng quát cho các bé, đánh giá phim X - quang do bệnh nhân mang đến rồi mới lên phương án xử lý. Sau khi xác định rõ các vấn đề thì bác sĩ sẽ tư vấn cụ thể thời gian hoàn thành cũng như chi phí thực hiện dịch vụ.
- Bước 2: Thăm khám và vệ sinh răng miệng miễn phí trước khi thực hiện chụp thép răng, sẽ được vệ sinh răng miệng bao gồm lấy cao răng, làm sạch khoang miệng, loại bỏ tình trạng viêm lợi.
- Bước 3: Tiến hanh thu nhỏ răng một chút để vừa lắp.
- Bước 4: Lấy dấu răng của trẻ và lựa chọn size chụp thép phù hợp, vừa với thân răng và khít với 2 răng kế cạnh.
- Bước 5: Tiến hành lắp theo tiêu chuẩn và quy trình.
- Bước 6: Bác sĩ loại bỏ hoàn toàn chất gắn dư thừa, chỉnh khớp cắn và hướng dẫn cách chăm sóc, vệ sinh tại nhà. 
- Bước 7: Các bé cần đến nha khoa tái khám định kỳ từ 3-6 tháng một lần để vệ sinh răng miệng cũng như lấy cao răng. Định kỳ sẽ có đội ngũ chăm sóc khách hàng của Yota gọi điện nhắc nhở đặt lịch mình đi thăm khám để bảo vệ hàm răng của các bé.
 

5. Nha Khoa Yota - chuyên răng trẻ em

Với việc Nha khoa Yota mỗi ngày đón tiếp 10-20 chục trường hơp chỉ định chụp răng thép bảo vệ răng sữa nên các y bác sĩ đã quá quen với việc dỗ dành các bé. Nha khoa trẻ em sẽ không còn là nỗi đáng sợ với phụ huynh lẫn các con nữa! Được dẫn dắt bởi Đại Tá BS CK1 Nguyễn Quý Tuệ trên 35 năm kinh nghiệm, cơ sở hiện đại trang thiết bị tiên tiến, quy trình khám bài bản và được Sở Y Tế cấp phép hoạt động, vậy nên Yota sẽ là địa chỉ chụp răng thép uy tín mà phụ huynh có thể tin tưởng.
Giá chụp thép răng sữa ảnh 4
Vừa rồi Nha Khoa Yota đã chia sẻ lý do và các chi phí chụp răng thép cho bé, răng của con là khoản đầu tư lời nhất của bố mẹ nên định kỳ 3-6 tháng cho con đi kiểm tra răng miệng định kỳ 1 lần để bảo vệ răng của bé lẫn biết thêm kiến thức chăm sóc răng miệng của mình lẫn các bé.

Hãy liên hệ ngay Nha Khoa Yota để được tư vấn thêm thông tin về các khuyến mãi và các ưu đãi đặc biệt qua các kênh sau:
Tư vấn miễn phí: https://nhakhoayota.com/
Zalo: https://zalo.me/0354822822
Youtube: https://www.youtube.com/@NhaKhoaYota
Tiktok: https://www.tiktok.com/@nha_khoa_yota

Các tin khác

Nhổ Răng Khôn Chảy Máu Bao Lâu? Bao Lâu Thì Lành?

Nhổ Răng Khôn Chảy Máu Bao Lâu? Bao Lâu Thì Lành?

Nhổ răng khôn là một thủ thuật nha khoa phổ biến, nhưng nhiều người lo lắng về việc chảy máu sau khi nhổ. Vậy, nhổ răng khôn chảy máu bao lâu là bình thường? Bài viết này sẽ cung cấp cho bạn thông tin chi tiết về thời gian chảy máu sau khi nhổ răng khôn, các yếu tố ảnh hưởng và cách xử lý hiệu quả để bạn có thể yên tâm hơn trong quá trình hồi phục.
(08/04/2025)
Lấy Cao Răng Mất Bao Lâu? Khi Nào Nên Đi Lấy Cao Răng

Lấy Cao Răng Mất Bao Lâu? Khi Nào Nên Đi Lấy Cao Răng

Việc lấy cao răng sẽ giúp bảo vệ răng miệng và duy trì chức năng ăn uống tốt nhất. ừ đó đem đến hơi thở thơm tho, nụ cười tự tin trong giao tiếp và nâng cao chất lượng. Vậy khi nào nên đi lấy cao răng? Lấy cao răng mất bao lâu? Bài viết dưới đây sẽ giải đáp các thắc mắc cho các bạn!
(20/05/2025)
Răng khôn có tác dụng gì? Có nên nhổ răng khôn?

Răng khôn có tác dụng gì? Có nên nhổ răng khôn?

Răng khôn không tham gia nhiều trong chức năng ăn nhai lẫn thẩm mỹ vậy nên nếu răng răng gây ra các phiền toái như sâu răng hôi miệng, viêm đi viêm lại nhiều lần gây đau đớn thì việc loại bỏ chiếc răng khôn càng sớm càng tốt.
(14/06/2024)
10 Cách Trị Hôi Miệng Tại Nhà Đơn Giản Dứt Điểm

10 Cách Trị Hôi Miệng Tại Nhà Đơn Giản Dứt Điểm

Hôi miệng là một vấn đề phổ biến, gây khó chịu và ảnh hưởng đến sự tự tin trong giao tiếp. Tuy nhiên, bạn hoàn toàn có thể cải thiện tình trạng này ngay tại nhà với những phương pháp đơn giản và hiệu quả. Website của chúng tôi sẽ cung cấp cho bạn những thông tin hữu ích về nguyên nhân gây hôi miệng, các cách trị hôi miệng tại nhà hiệu quả, và những lời khuyên để duy trì hơi thở thơm mát.
(31/03/2025)
Lấy cao răng để làm gì? Lấy cao răng có đau không?

Lấy cao răng để làm gì? Lấy cao răng có đau không?

Lấy cao răng giúp loại bỏ những mảng bám cứng đầu có trên bề mặt thân răng. Ngăn ngừa những tình trạng như viêm nướu, viêm nha chu, tụt lợi và lung lay rang. Lấy cao răng sẽ không đau nếu đi lấy cao răng thường xuyên.
(04/05/2024)
[GIẢI ĐÁP] Có nên nhổ răng khôn khi đang bị đau

[GIẢI ĐÁP] Có nên nhổ răng khôn khi đang bị đau

Nhổ răng khôn khi đang đau nhức là điều cần thiết, những phiền toái do răng khôn gây ra như lung lay răng số 7 và đặc biệt là viêm hôi miệng khiến bản thân mình tự ti. 
(01/05/2024)
[TƯ VẤN] 3 vật liệu TRÁM BÍT HỐ RÃNH chống sâu răng

[TƯ VẤN] 3 vật liệu TRÁM BÍT HỐ RÃNH chống sâu răng

Trám bít hố rãnh giúp chống sâu răng bởi các bệnh răng miệng thường không tự khỏi, và đặc biệt các bệnh răng miệng khi phát sinh thường không có dấu hiệu xảy ra.
(28/04/2024)
Nhổ răng khôn có ảnh hưởng gì không, có đau không

Nhổ răng khôn có ảnh hưởng gì không, có đau không

Nhổ răng khôn bằng máy Piezotome và lựa chọn nha khoa uy tín để việc nhổ răng khôn sẽ không gây ảnh hưởng nhiều đến mình, quá trình hồi phục nhanh, sớm trở lại sinh hoạt bình thường.
(17/05/2024)
Thời gian nhổ răng khôn là bao nhiêu? Bao lâu thì lành thương

Thời gian nhổ răng khôn là bao nhiêu? Bao lâu thì lành thương

Thời gian nhổ răng khôn diễn ra trong vòng 30 phút đến 1 tiếng tùy thuộc vào độ khó và công nghệ khách hàng chọn. Thời gian lành thương sẽ từ ngày thứ 3 tình trạng đau sẽ giảm dần.
(23/05/2024)
Không nhổ răng khôn có sao không? Có ảnh hưởng gì không?

Không nhổ răng khôn có sao không? Có ảnh hưởng gì không?

Không nhổ răng khôn sẽ gây ra những biến chứng như đau nhức kéo dài, viêm lợi và xấu nhất là răng khôn húc đâm hỏng răng số 7 bên cạnh. Nhổ răng khôn sẽ không gây ảnh hưởng gì nếu chọn các phòng khám nha khoa uy tín có đầy đủ bác sĩ. Hãy cùng tìm hiểu vấn đề không nhổ răng khôn có sao không? Có ảnh hưởng gì không do Đại Tá BS CK1 Nguyễn Quý Tuệ chia sẻ.
(11/06/2024)
Hướng Dẫn Cách Chăm Sóc Răng Miệng Cho Trẻ Đúng Cách Tại Nhà

Hướng Dẫn Cách Chăm Sóc Răng Miệng Cho Trẻ Đúng Cách Tại Nhà

Chăm sóc răng miệng cho trẻ tại nhà là một phần quan trọng trong việc đảm bảo sức khỏe tổng thể của trẻ. Việc này không chỉ giúp trẻ có một hàm răng chắc khỏe, nụ cười rạng rỡ mà còn phòng ngừa các bệnh lý răng miệng nguy hiểm. Bằng cách xây dựng những thói quen tốt từ sớm, cha mẹ có thể giúp con cái hình thành nền tảng vững chắc cho sức khỏe răng miệng suốt đời.
(30/03/2025)
Thời Gian Niềng Răng Hô Có Lâu Không?

Thời Gian Niềng Răng Hô Có Lâu Không?

Sở hữu nụ cười tự tin là mong muốn của nhiều người có răng hô. Vậy thời gian niềng răng hô mất bao lâu để đạt được sự thay đổi ấy? Bài viết này sẽ cung cấp thông tin chi tiết về quy trình, các yếu tố ảnh hưởng đến tiến độ và giải đáp thắc mắc thường gặp về khoảng thời gian niềng răng hô trung bình. Cùng khám phá hành trình kiến tạo nụ cười rạng rỡ!
(10/04/2025)
Cắt Lợi Có Nguy Hiểm Không? Bao Lâu Thì Lành

Cắt Lợi Có Nguy Hiểm Không? Bao Lâu Thì Lành

Cười hở lợi là khuyết điểm không ảnh hưởng đến tình trạng răng miệng nhưng làm mất đi tính thẩm mỹ. Nụ cười hở lợi khiến bạn cảm thấy tự ti khi nói chuyện và giao tiếp. Chính vì thế phẫu thuật cắt nướu là phương pháp giúp cải thiện tình trạng hở lợi hiệu quả. Vậy cắt lợi có nguy hiểm không?
(24/04/2025)
Chi Phí Nhổ Răng Khôn Bị Sâu Mới Nhất Năm 2025

Chi Phí Nhổ Răng Khôn Bị Sâu Mới Nhất Năm 2025

Trường hợp răng bị sâu nghiêm trọng, không còn cách để bảo tồn bác sĩ sẽ chỉ định nhổ răng sâu để tránh vi khuẩn sâu răng lây lan sang các răng còn lại trên cung hàm. Nhổ răng khôn bị sâu giá bao nhiêu sẽ là vấn đề mà nhiều bạn khách hàng thắc mắc. Hôm nay hãy cùng bác sĩ đi tìm hiểu chi phí nhổ răng khôn mới nhất năm 2025!
(22/05/2025)
Hàm giữ khoảng là gì? Bạn biết gì về hàm giữ khoảng

Hàm giữ khoảng là gì? Bạn biết gì về hàm giữ khoảng

Hàm giữ khoảng cải thiện tình trạng mất răng cho bé. Cải thiện chức năng ăn nhai, phát âm lẫn thẩm mỹ. Vậy hàm giữ khoảng là gì và phụ huynh tại sao cần tìm hiểu hàm giữ khoảng cho bé. Hãy cùng Nha Khoa Yota tìm hiểu vấn đề này.
(20/06/2024)
Có nên chụp thép răng sữa - chụp thép bảo vệ răng sữa

Có nên chụp thép răng sữa - chụp thép bảo vệ răng sữa

Chụp thép răng sữa bảo vệ chức năng ăn nhai của bé. Vậy có nên chụp thép răng sữa cho bé? Con sẽ ảnh hưởng đến thể xác lẫn tinh thần nếu không được điều trị sớm.
(18/04/2024)
Quý khách vui lòng để lại thông tin, chúng tôi sẽ liên hệ ngay!