Loading...
Tin tức

Chụp thép răng sữa để làm gì

15:52 | 20/04/2024
Tầm quan trọng của răng sữa rất quan trọng khi nó giữ cho cho răng vĩnh viễn, thẩm mỹ hơn, ăn nhai ngon hơn, bảo tồn chức năng của răng vậy nên chụp thép răng sữa để bảo vệ chiếc răng sữa hoặc răng vĩnh viễn.

Chụp thép răng sữa để làm gì và những lưu ý khi chụp thép

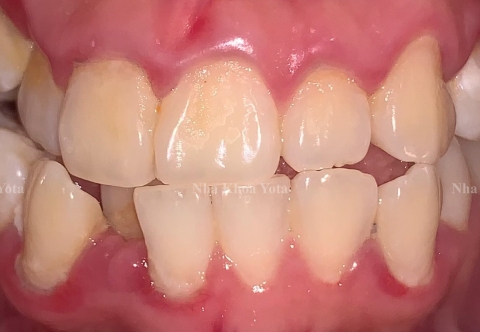
Chụp thép răng sữa để tái tạo răng sữa bị vỡ quá lớn, giúp cho răng tồn tại lâu trên cung hàm để bảo vệ chức năng như của một chiếc răng sữa, giúp bé ăn nhai tốt hơn, phát âm chuẩn hơn và giữ chỗ cho mầm răng vĩnh viễn.

1. Chụp thép răng sữa là gì?

Chụp thép có sẵn (SSC: Stainless-Steel Crowns) được sử dụng trong răng hàm mặt phục hồi răng trẻ em lần đầu tiên trong năm 1950 bởi Humphrey. Nhìn chung, SSC dùng để tái tạo những chiếc răng sữa bị sâu vỡ quá lớn. Chụp thép răng sữa giúp trẻ ngăn ngừa các bệnh của miệng như sâu răng cũng như các vùng lân cận.chụp thép răng sữa

2. Chỉ định và chống chỉ định chụp thép răng sữa

2.1 Chỉ định chụp thép

- Tái tạo răng sữa và răng vĩnh viễn trẻ bị sâu răng quá lớn, sâu nhiều mặt
- Răng sữa và răng vĩnh viễn trẻ bị thiểu sản men
- Tái tạo răng sữa sau khi đã điều trị tủy buồng hoặc tủy chân
- Phục hồi những răng có sự bất thường về di truyền như sinh men bất toàn
- Tái tạo ở những trẻ tật nguyền hoặc ở trẻ vệ sinh răng miệng kém, việc sử dụng một vật liệu để hàn răng khác có thể thất bại
- Làm trụ cho một bộ phận giữ khoảng hoặc một khí cụ chỉnh hình
- Điều trị tạm thời một răng bị gãy

2.2 Chống chỉ định chụp thép có sẵn

- Các bé không hợp tác
- Chân răng sữa tiêu quá 1/2 chiều dài chân răng
Giúp trẻ em không sợ điều trị nha khoa bằng sự giáo dục, kinh nghiệm và những nỗ lực của các y bác sĩ, khi các bé không hợp tác thì các bác sĩ và phụ huynh cũng không nên ép buộc quá khiến bé có thể tổn thương về tinh thần. 

3. Chụp thép răng sữa để làm gì

Chụp thép răng sữa là lựa chọn tốt nhất để bảo toàn cấu trúc răng tự nhiên của các con. So với những vật liệu thông thường khác, chụp thép có sẵn có nhiều ưu điểm để phục hồi răng hàm sữa như: rất bền, bảo vệ và nâng đỡ được múi còn lại của răng, phục hồi lại được hình dáng của thân răng được dễ dàng, diện tiếp xúc với các răng bên tốt tránh được hiện tượng dắt thức ăn rất phiền thoải cho trẻ, hiệu quả kinh tế cao, tiết kiệm được thời gian cho bệnh nhân và các bác sĩ, kỹ thuật đơn giản.
chụp thép răng sữa để làm gì
Giúp răng của bé hồi phục được chức năng ăn nhai, phù hợp khoang miệng và giúp bé thoải mái hơn, vậy nên chúng ta nên chú ý tới vấn đề lựa chọn vật liệu, hơn nữa để sử dụng đúng và phù hợp giúp cho việc bảo vệ răng sữa cũng như là các răng vĩnh viễn được tốt hơn. 

4. Kỹ thuật gắn chụp thép răng sữa

1. Chọn chụp
2. Mài mặt bên
3. Đo và chọn kích cỡ chụp
4. Cắt chụp
5. Tạo hình chụp
6. Tạo sự sát khít ở 1mm cuối
7. Đánh bóng
8. Gắn chụp
9. Kiểm tra mặt bên
10. Kiểm tra khớp cắn

Đặc biệt trong lúc cement đông cứng, cần dùng tay để giữ chụp để tránh các di lệch bất thường do trẻ em rất khó có thể giữ hàm dưới ở một tư thế ổn định. Khi về nhà các phụ huynh nhớ dặn con: chải răng vùng lợi quanh chụp, không được ăn các loại kẹo cứng và dẻo dễ bong chụp, nếu có bất thường như chụp răng bị lỏng thì ra gặp ngay bác sĩ và cuối cùng là yên tâm khi răng chụp thép sẽ thay cùng răng sữa. 

5. Đôi nét về răng trẻ em

Trẻ em không thể coi là một người lớn thu nhỏ. Trẻ em khác biệt với người lớn, khác biệt về giải phẫu và sinh lý, về dược động học, về tâm lý ... Thuyết phục và kiểm soát bệnh nhân trẻ em đòi hỏi phải có nhiều kỹ năng và cố gắng, nhất là kỹ năng giao tiếp. Đây quả là một thử thách lớn. Điều trị cho trẻ em, bác sĩ không chỉ tập trung vào một mình trẻ mà cần phải có liên hệ với bố mẹ của trẻ, mối quan hệ giữa bác sĩ và bệnh nhân là một người với nhiều người.
chụp thép răng sữa dự phòng sâu răng
Vậy nên mục tiêu thực hành răng trẻ em là đem lại lợi ích tốt nhất cho các chức năng ăn nhai, phát âm, thẩm mỹ, giữ chỗ, kích thước dọc của khớp cắn, tránh các tâm lý và các thói quen xấu. Vừa rồi thì các y bác sĩ Yota đã chia sẻ chụp thép răng sữa để làm gì và đôi nét về răng trẻ em, các phụ huynh nên chú chăm sóc răng miệng của con nhiều hơn để con có hàm răng chắc khỏe hơn, nụ cười xinh hơn.

Hãy liên hệ ngay Nha Khoa Yota để được tư vấn thêm thông tin về các khuyến mãi và các ưu đãi đặc biệt qua các kênh sau:
Tư vấn miễn phí: https://nhakhoayota.com/
Zalo: https://zalo.me/0354822822
Youtube: https://www.youtube.com/@NhaKhoaYota
Tiktok: https://www.tiktok.com/@nha_khoa_yota

Các tin khác

Bọc Răng Sứ Là Gì? Có Mấy Loại Răng Sứ

Bọc Răng Sứ Là Gì? Có Mấy Loại Răng Sứ

Bọc răng sứ là kỹ thuật phục hình răng thẩm mỹ bằng cách mài nhỏ răng thật và chụp mão sứ lên trên. Có nhiều loại răng sứ như kim loại, toàn sứ, titan, giúp cải thiện thẩm mỹ và chức năng ăn nhai. Việc lựa chọn loại răng sứ nào phụ thuộc vào tình trạng răng miệng, nhu cầu thẩm mỹ và khả năng tài chính của mỗi người. Hãy cùng bác sĩ tìm hiểu rõ hơn về vấn đề bọc răng sứ.
(14/04/2025)
Chi Phí Nhổ Răng Khôn Bị Sâu Mới Nhất Năm 2025

Chi Phí Nhổ Răng Khôn Bị Sâu Mới Nhất Năm 2025

Trường hợp răng bị sâu nghiêm trọng, không còn cách để bảo tồn bác sĩ sẽ chỉ định nhổ răng sâu để tránh vi khuẩn sâu răng lây lan sang các răng còn lại trên cung hàm. Nhổ răng khôn bị sâu giá bao nhiêu sẽ là vấn đề mà nhiều bạn khách hàng thắc mắc. Hôm nay hãy cùng bác sĩ đi tìm hiểu chi phí nhổ răng khôn mới nhất năm 2025!
(22/05/2025)
17 tuổi có nên niềng răng không? Niềng răng bao nhiêu tiền

17 tuổi có nên niềng răng không? Niềng răng bao nhiêu tiền

Có nên niềng răng không? Niềng răng giúp những chiếc răng lệch lạc trở lại đúng vị trí trên khớp cắn và trả lại chức năng ăn nhai lại khách hàng. Việc niềng răng sẽ giúp cải thiện cả tình trạng sức khỏe.
(18/05/2024)
Sau khi nhổ răng khôn bao lâu thì được ăn, cần kiêng gì

Sau khi nhổ răng khôn bao lâu thì được ăn, cần kiêng gì

Nhổ răng khôn bao lâu thì được ăn là do cơ địa từng người và vết thương. Có người nhanh lành thương hơn thì 1 ngày có thể ăn uống nhẹ nhàng. Thông thường thì 3 - 7 ngày là sinh hoạt quay trở lại.
(01/05/2024)
7 biến chứng sau khi nhổ răng khôn bạn phải biết

7 biến chứng sau khi nhổ răng khôn bạn phải biết

Biến chứng sau khi nhổ răng khôn là điều có thể xảy ra vậy nên trước khi nhổ răng các y bác sĩ cũng như khách hàng cần có khâu chuẩn bị thật là kỹ càng, khai báo thông tin thật chính xác.
(26/04/2024)
Hàn răng sâu xong bị đau nhức

Hàn răng sâu xong bị đau nhức

Việc hàn răng sâu xong bị đau nhức sẽ hết sau 1,2 ngày do ban đầu mới hàn răng chúng ta chưa quen, nếu vấn đề đau nhức kéo dài chúng ta nên đi đến để được các bác sĩ thăm khám cũng như có phương pháp điều trị.
(24/04/2024)
5 Điều Cần Biết Khi Niềng Răng Hô

5 Điều Cần Biết Khi Niềng Răng Hô

Răng hô, hay răng vẩu, là một tình trạng sai lệch khớp cắn phổ biến, ảnh hưởng không nhỏ đến thẩm mỹ và sự tự tin của nhiều người. Nếu bạn đang ấp ủ ý định cải thiện nụ cười bằng phương pháp niềng răng hô, đừng bỏ qua bài viết này. Chúng tôi sẽ cung cấp những điều cần biết khi niềng răng hô một cách chi tiết và dễ hiểu, giúp bạn có sự chuẩn bị tốt nhất cho hành trình thay đổi diện mạo này.
(21/04/2025)
Niềng răng có những loại nào? Nên chọn loại nào, chi phí bao nhiêu

Niềng răng có những loại nào? Nên chọn loại nào, chi phí bao nhiêu

Niềng răng hiện nay là xu hướng thẩm mỹ phổ biến nhằm khắc phục những khuyết điểm về răng như khấp khểnh, hô hoặc khớp cắn sâu. Hiện nay có rất nhiều loại niềng răng vậy nên hãy cùng Nha Khoa Yota tìm hiểu cho phí cũng như nên niềng răng loại nào nhé!
(17/06/2024)
Hướng Dẫn Cách Chải Răng Đúng Cách Tại Nhà

Hướng Dẫn Cách Chải Răng Đúng Cách Tại Nhà

Bạn có biết rằng, đằng sau nụ cười rạng rỡ là cả một quá trình chăm sóc răng miệng tỉ mỉ? Việc chải răng đúng cách không chỉ đơn thuần là thói quen hàng ngày, mà còn là nền tảng vững chắc để bảo vệ sức khỏe răng miệng, ngăn ngừa các bệnh lý nguy hiểm và duy trì sự tự tin trong giao tiếp. Hãy cùng khám phá tầm quan trọng của việc chải răng đúng cách và những lợi ích bất ngờ mà nó mang lại cho cuộc sống của bạn.
(20/03/2025)
Nhổ Răng Khôn Bao Lâu Thì Ăn Được Bình Thường

Nhổ Răng Khôn Bao Lâu Thì Ăn Được Bình Thường

Nhổ răng khôn bao lâu thì ăn được là câu hỏi được nhiều quan tâm nhất sau khi nhổ răng. Nhổ răng khôn thông thường sẽ ăn uống nhẹ nhàng được bình thường sau 2-3 ngày. Tùy thuộc vào cơ địa của mỗi người, phương pháp nhổ răng, tay nghề bác sĩ và vị trí nhổ răng mà khả năng hồi phục sẽ khác nhau. Hãy cùng bác sĩ tìm hiểu!
(27/05/2025)
[GIẢI ĐÁP] Có nên nhổ răng khôn khi đang bị đau

[GIẢI ĐÁP] Có nên nhổ răng khôn khi đang bị đau

Nhổ răng khôn khi đang đau nhức là điều cần thiết, những phiền toái do răng khôn gây ra như lung lay răng số 7 và đặc biệt là viêm hôi miệng khiến bản thân mình tự ti. 
(01/05/2024)
Các Loại Niềng Răng Tốt Phổ Biến Nhất Năm 2025

Các Loại Niềng Răng Tốt Phổ Biến Nhất Năm 2025

Các loại niềng răng như niềng răng mắc cài kim loại, niềng răng mắc cài sứ, niềng răng không mắc cài là những phương pháp niềng phổ biến hiện nay. Việc lựa chọn đúng phương pháp sẽ giúp bạn đạt được kết quả như mong muốn. Bài viết này sẽ giúp bạn phân loại chi tiết các loại niềng răng dựa theo phương pháp, tình trạng răng, vị trí hàm và độ tuổi.
(03/05/2025)
Răng khấp khểnh có nên niềng răng không

Răng khấp khểnh có nên niềng răng không

Đối với nhiều người thì tình trạng răng khểnh sẽ mang lại nét duyên khi cười, làm cho nụ cười có điểm nhấn nhưng nếu răng khấp khểnh trên diện rộng sẽ dẫn đến tình trạng mất thẩm mỹ. Niềng răng khấp khểnh là giải pháp hiệu quả để trả lại hàm răng đều đẹp cho khách hàng. Vậy răng khấp khểnh có nên niềng hay không?
(01/07/2024)
Niềng răng hô là gì? Niềng bao lâu? Chi phí bao nhiêu

Niềng răng hô là gì? Niềng bao lâu? Chi phí bao nhiêu

Niềng răng hô là quá trình di chuyển những chiếc răng hàm trên bị chìa ra bên ngoài do do răng hoặc do xương gây ra về đúng vị trí khớp cắn chuẩn. Vậy niềng răng hô bao lâu thì xong, chi phí niềng răng hô thế nào? Hãy cùng các bác sĩ của Nha Khoa Yota tìm hiểu vấn đề này!
(27/06/2024)
Thời gian nhổ răng khôn là bao nhiêu? Bao lâu thì lành thương

Thời gian nhổ răng khôn là bao nhiêu? Bao lâu thì lành thương

Thời gian nhổ răng khôn diễn ra trong vòng 30 phút đến 1 tiếng tùy thuộc vào độ khó và công nghệ khách hàng chọn. Thời gian lành thương sẽ từ ngày thứ 3 tình trạng đau sẽ giảm dần.
(23/05/2024)
Lấy Cao Răng Là Gì? Lợi Ích Của Việc Lấy Cao Răng Bạn Cần Biết

Lấy Cao Răng Là Gì? Lợi Ích Của Việc Lấy Cao Răng Bạn Cần Biết

Cao răng (vôi răng) là những mảng bám cứng đầu, tích tụ lâu ngày trên bề mặt răng và dưới đường viền nướu. Chúng được hình thành từ các mảng bám mềm, thức ăn thừa, vi khuẩn và khoáng chất trong nước bọt. Theo thời gian, những mảng bám này bị vôi hóa, trở nên cứng chắc và khó loại bỏ bằng cách chải răng thông thường. Hãy cùng bác sĩ tìm hiểu về vấn đề lợi ích của việc lấy cao răng.
(06/04/2025)
Quý khách vui lòng để lại thông tin, chúng tôi sẽ liên hệ ngay!