1. Trường hợp nào phải nhổ răng khôn?
Răng khôn hay còn gọi là răng số 8 được mọc ở độ tuổi trưởng thành từ 17 - 25 tuổi. Răng khôn là răng cối thứ 3 nằm ở trong cùng của cung hàm. Thông thường thì răng khôn không tham gia chức năng ăn nhai lẫn thẩm mỹ và còn mang nhiều phiền toái cho khách hàng nên thường các trường hợp răng khôn sẽ được các bác sĩ chỉ định loại bỏ.

Các trường hợp răng khôn cần nhổ:
Răng khôn mọc lệch và mọc ngầm Đây là lý do phổ biến nhất. Răng khôn thường không có đủ không gian để mọc thẳng, dẫn đến các tình trạng như:
Mọc kẹt, mọc xiên: Răng khôn mọc đâm vào răng số 7 (răng hàm lớn thứ hai) gây đau nhức, làm hỏng răng bên cạnh.
Mọc ngầm dưới nướu hoặc xương hàm: Dù không nhìn thấy bằng mắt thường, răng khôn mọc ngầm vẫn có thể gây áp lực lên các răng khác, gây đau và khó chịu.
Viêm nhiễm đau nhức tái phát
Khi răng khôn mọc lệch hoặc không thể trồi lên hoàn toàn, một phần răng có thể bị kẹt dưới nướu, tạo thành khe hở khó vệ sinh. Điều này dễ dẫn đến:
Viêm lợi trùm: Nướu bị sưng đỏ, đau nhức, có thể chảy mủ, gây khó khăn khi ăn uống và vệ sinh.
Sâu răng: Thức ăn dễ bị kẹt, tích tụ vi khuẩn gây sâu răng khôn hoặc thậm chí lây sang răng số 7 bên cạnh.
Viêm quanh thân răng: Tình trạng viêm nhiễm nặng hơn, có thể lan rộng gây áp xe hoặc nhiễm trùng nghiêm trọng.
Gây xô lệch các răng khác
Răng khôn mọc có thể tạo áp lực đẩy các răng còn lại trên cung hàm, dẫn đến tình trạng:
Răng bị chen chúc, lệch lạc: Ảnh hưởng đến thẩm mỹ và chức năng ăn nhai.
Khó khăn khi vệ sinh: Gây nguy cơ sâu răng và các bệnh về nướu cao hơn cho toàn bộ hàm răng.
Răng khôn khi niềng răng
Để tạo khoảng trống hoặc tránh xô lệch răng trong quá trình niềng răng, bác sĩ chỉnh nha có thể yêu cầu nhổ răng khôn.
Vừa rồi thì bác sĩ đã liệt kê những trường hợp nhổ răng khôn số 8 phổ biến tại nha khoa, vậy chi phí nhổ răng khôn bị sâu giá bao nhiêu?
2. Chi phí nhổ răng khôn bị sâu
Chi phí nhổ răng khôn có thể dao động khá lớn tùy thuộc vào nhiều yếu tố. Dưới đây là những yếu tố chính ảnh hưởng đến giá cả:
2.1 Mức độ phức tạp của ca nhổ răng
Đây là yếu tố quan trọng nhất quyết định chi phí.
Răng khôn mọc thẳng, đơn giản: Chi phí sẽ thấp nhất vì quy trình nhổ nhanh gọn, ít xâm lấn.
Răng khôn mọc lệch (nghiêng, xiên): Tùy thuộc vào góc độ lệch (45 độ, 90 độ), mức độ lệch càng nhiều thì càng khó nhổ, có thể cần tiểu phẫu cắt xương, chia thân răng, do đó chi phí sẽ cao hơn.
Răng khôn mọc ngầm (hoàn toàn dưới nướu hoặc xương hàm): Đây là trường hợp phức tạp nhất, đòi hỏi kỹ thuật cao, phải rạch nướu, mở xương và đôi khi phải chia nhỏ răng để lấy ra. Chi phí cho răng mọc ngầm thường là cao nhất.
Tình trạng chân răng: Răng có chân cong, nhiều chân, chân răng bám chắc vào xương hàm cũng làm tăng độ khó và chi phí.
Biến chứng đi kèm: Nếu răng khôn bị sâu nặng, viêm nhiễm (viêm lợi trùm, áp xe, viêm nha chu) thì có thể cần điều trị trước khi nhổ, làm tăng tổng chi phí.

2.2 Vị trí răng khôn (hàm trên hay hàm dưới)
Răng khôn hàm trên: Thường dễ nhổ hơn do xương hàm trên xốp hơn và vị trí dễ tiếp cận hơn. Do đó, chi phí thường thấp hơn.
Răng khôn hàm dưới: Răng khôn hàm dưới thường có cấu trúc xương hàm chắc hơn và gần nhiều dây thần kinh quan trọng (thần kinh răng dưới), nên việc nhổ phức tạp hơn, đòi hỏi bác sĩ có tay nghề cao và cẩn trọng hơn, chi phí vì thế cũng cao hơn.
2.3 Công nghệ nhổ răng khôn
Phương pháp truyền thống: Sử dụng các dụng cụ nha khoa cơ bản như kìm, bẩy. Chi phí thường thấp hơn.
Công nghệ hiện đại (ví dụ: máy siêu âm Piezotome): Sử dụng sóng siêu âm để làm đứt dây chằng quanh răng, giúp quá trình nhổ nhẹ nhàng, ít đau, ít chảy máu và giảm sưng tấy sau phẫu thuật. Phương pháp này mang lại trải nghiệm tốt hơn nhưng
chi phí nhổ răng khôn sẽ cao hơn.

2.4 Tay nghề của bác sĩ
Bác sĩ có kinh nghiệm, chuyên môn cao: Những bác sĩ giỏi, có kinh nghiệm xử lý các ca nhổ răng khôn phức tạp sẽ có mức phí cao hơn. Tuy nhiên, điều này đảm bảo an toàn, giảm thiểu rủi ro biến chứng và quá trình hồi phục nhanh hơn.
Uy tín của cơ sở nha khoa/bệnh viện: Các phòng khám nha khoa lớn, hiện đại, có trang thiết bị tiên tiến, đội ngũ bác sĩ chuyên sâu thường có chi phí cao hơn so với các phòng khám nhỏ, ít tiếng tăm. Tuy nhiên, chất lượng dịch vụ và chế độ chăm sóc hậu phẫu cũng sẽ tốt hơn.
2.5 Chi phí chụp X-quang (tùy phòng khám)
Chụp X-quang: Chi phí chụp X-quang (panoramic, Cone Beam CT) để đánh giá vị trí và tình trạng răng khôn trước khi nhổ thường được tính riêng.
Thuốc men: Chi phí thuốc giảm đau, kháng sinh, thuốc chống viêm sau nhổ răng.
Các dịch vụ đi kèm: Nếu có các bệnh lý răng miệng khác cần điều trị trước khi nhổ (ví dụ: viêm nướu nặng, sâu răng kề cận).
Tổng kết thì chi phí nhổ răng khôn sẽ phụ thuộc vào mức độ khó của răng, vị trí răng mọc, công nghệ nhổ răng, tay nghề bác sĩ và các chi phí đi kèm. Dưới đây là bảng giá chi phí nhổ răng khôn các bạn có thể tham khảo
Nhổ răng khôn mọc thẳng thông thường: 900.000 VNĐ
Nhổ răng khôn mọc thẳng bằng công nghệ Piezotome: 1.800.000 VNĐ
Nhổ răng khôn mọc lệch công nghệ Piezotome: từ 1.800.000 VNĐ trở lên tùy độ khó
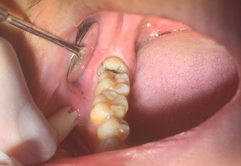
3. Quá trình nhổ răng khôn bị sâu
Răng khôn (còn gọi là răng số 8) là những chiếc răng mọc cuối cùng trong cung hàm, thường vào độ tuổi 17-25. Do vị trí mọc cuối cùng nên răng khôn thường thiếu chỗ, dẫn đến các tình trạng mọc lệch, mọc ngầm, hoặc mọc thẳng nhưng dễ bị sâu do khó vệ sinh. Nhổ răng khôn bị sâu là một quy trình nha khoa phổ biến để giải quyết tình trạng này, giúp bảo vệ sức khỏe răng miệng.
3.1 Thăm khám và chụp Xquang
Nha sĩ sẽ kiểm tra tổng thể tình trạng răng miệng của bạn, đặc biệt là chiếc răng khôn bị sâu. Chụp X-quang giúp xác định chính xác vị trí, kích thước, hình dạng chân răng và hướng mọc của răng khôn (mọc thẳng, mọc lệch, mọc ngầm), cũng như mối liên hệ với các cấu trúc giải phẫu quan trọng (như dây thần kinh, xoang hàm trên).
3.2 Vệ sinh, sát khuẩn và tiêm tê
Khoang miệng của bạn sẽ được vệ sinh sạch sẽ và sát khuẩn để đảm bảo vô trùng, tránh nhiễm trùng trong quá trình nhổ. Nha sĩ sẽ tiêm thuốc gây tê cục bộ vào vùng răng cần nhổ. Thuốc tê sẽ làm tê liệt tạm thời các dây thần kinh ở khu vực đó, giúp bạn không cảm thấy đau trong suốt quá trình nhổ.
3.3 Nhổ răng khôn
Nhổ răng khôn truyền thống: Sử dụng các dụng cụ nha khoa chuyên dụng như kìm, bẩy để lấy răng ra khỏi ổ răng. Phương pháp này có thể áp dụng cho các răng khôn mọc thẳng, dễ lấy.
Nhổ răng khôn bằng công nghệ sóng siêu âm (Piezotome): Đây là phương pháp hiện đại, sử dụng sóng siêu âm cao tần để bóc tách các mô mềm và cắt xương (nếu cần) một cách nhẹ nhàng, chính xác. Phương pháp này ít xâm lấn, giảm đau, giảm sưng và đẩy nhanh quá trình hồi phục, đặc biệt hiệu quả với các trường hợp răng khôn mọc lệch, mọc ngầm phức tạp.

3.4 Khâu vết thương và cầm máu
Sau khi lấy răng ra, nha sĩ sẽ làm sạch ổ răng, khâu đóng vết thương (nếu cần) và đặt miếng gạc vô trùng để cầm máu.
3.5 Hướng dẫn chăm sóc, kê đơn thuốc và hẹn lịch tái khám
Bác sĩ sẽ hướng dẫn bạn cách chăm sóc vết thương tại nhà, chế độ ăn uống, vệ sinh răng miệng và kê đơn thuốc (thuốc giảm đau, kháng sinh, thuốc chống viêm) để giúp giảm đau và ngăn ngừa nhiễm trùng. Hẹn lịch tái khám để kiểm tra quá trình lành thương và cắt chỉ (nếu có).
4. Nha Khoa Yota - địa chỉ nhổ răng khôn an toàn, không đau
Đội ngũ bác sĩ có kỹ thuật chuyên môn cao
Đây là tiêu chí cực kỳ quan trọng khi lựa chọn nha khoa để nhổ răng khôn uy tín mà bạn cần hết sức chú ý. Trước khi nhổ răng khôn, các bạn sẽ được các bác sĩ khám tổng quát và đánh giá tình trạng sức khỏe của mình, mức độ khó của răng khôn để từ đó đưa ra phương pháp phù hợp nhất.
Trong quá trình khám này rất quan trọng nên cũng cần được khách hàng chú ý điền đúng thông tin sức khỏe của mình để đảm bảo quá trình nhổ răng diễn ra nhanh chóng và an toàn nhất. Đặc biệt các bác sĩ tại Nha Khoa Yota dưới sự dẫn dắt của Đại Tá BS CK1 Nguyễn Quý Tuệ thì việc nhổ răng khôn sẽ không còn là nỗi lo của mọi người.
Nha khoa YOTA áp dụng công nghệ hiện đại Hiện nay có 2 phương pháp nhổ răng khôn đó là bằng tay và nhổ răng khôn bằng máy Piezotome. Tuy nhiên các bác sĩ khuyên bạn nên chọn nhổ răng khôn bằng máy sẽ giúp quá trình diễn ra nhanh chóng và nhanh lành thương hơn. Các bác sĩ có tay nghề cao kết hợp với
công nghệ hiện đại hỗ trợ thì quá trình nhổ sẽ rất là nhanh chóng, không xâm lấn đến phần mô mềm và giảm thiểu chảy máu cũng như các biến chứng do răng khôn.
Cơ sở và trang thiết bị y tế Để đảm bảo an toàn cho khách hàng thì khu vực tiểu phẫu và điều trị sẽ được phân khu riêng. Xung quanh môi trường cũng phải được đảm bảo vệ sinh theo chuẩn an toàn của Bộ Y Tế. Các dụng cụ nhổ răng sẽ được đảm bảo vô khuẩn sạch sẽ tránh trường hợp lây chéo bệnh cho nhau. Các công nghệ vô khuẩn hàng đầu cũng được Nha Khoa Yota trang bị để đảm bảo sức khỏe của các khách hàng là quan trọng nhất, khiến khách hàng yên tâm hơn khi đến Nha Khoa Yota thăm khám.
Chi phí nhổ răng khôn Nha Khoa Yota với bảng giá nhổ răng khôn được công khai, rõ ràng và mức chi phí phù hợp với tiêu chí của bản thân. Điều này sẽ giúp được khách hàng sẽ không phải lo mất thêm chi phí gì khi nhổ răng khôn.
Tham khảo thêm:
https://nhakhoayota.com/tin-tuc/dia-chi-nho-rang-khon-uy-tin-tai-ha-noi.html