Loading...
Tin tức

Nhổ răng khôn bằng máy piezotome không đau nhanh lành thương

22:34 | 02/06/2024
Nhổ răng khôn bằng máy siêu âm Piezotome giúp bóc tách các dây chằng ra khỏi hệ thống xương từ đó giúp việc nhổ răng dễ dàng hơn mà không xâm lấn đến các mô mềm xung quanh. Nhổ răng khôn bằng máy siêu âm Piezotome giúp rút ngắn thời gian nhổ, nhanh lành thương và đặc biệt giảm đau hết mức có thể dành cho khách hàng.

1. Nhổ răng khôn bằng máy siêu âm Piezotome là gì

Nhổ răng khôn bằng máy siêu âm Piezotome là sử dụng sóng âm để mở nướu, cắt và tạo khung xương. Các đầu máy được sử dụng ở máy siêu âm Piezotome có cấu tạo rất nhỏ chỉ 0.2 - 0.5 mm nên việc đầu máy có thể mở được lợi một cách dễ dàng nhất mà không gây xâm lấn sang các mô mềm bên cạnh. 
Nhổ răng khôn bằng máy Piezotome ảnh 1
Việc ra đời của Nhổ răng khôn bằng máy Piezotome là kỷ nguyên mới làm thay đổi ngành nha khoa bởi rất nhiều ưu điểm nó mang lại không chỉ mỗi việc nhổ răng khôn. 

1.1 Nên nhổ răng khôn bằng tay hay máy 

Nhổ răng khôn bằng tay hay nhổ răng khôn bằng máy Piezotome đều sẽ mang lại kết quả cuối cùng là loại bỏ chiếc răng khôn. Nhưng các lợi ích nhổ răng khôn bằng máy mang lại đó là:
- Không đau, không chảy máu, không xâm lấn
- Nhổ răng an toàn, không gây biến chứng
- Thời gian nhổ thần tốc chỉ 5 - 15 phút
- Có thể nhổ nhiều răng cùng một lúc
- Tác động khóa mạch máu giúp vết thương nhanh hồi phục

Với những lợi ích của việc nhổ răng bằng máy Piezotome mang lại thì bác sĩ sẽ chỉ định mình nhổ răng bằng máy để quá trình nhổ răng diễn ra nhanh nhất và an toàn nhất.

1.2 Nhổ răng khôn bằng máy có đau không

Với việc hạn chế xâm lấn và không gây chảy máu nhiều, tác động khóa mạch giúp vết thương nhanh hồi phục thì nhổ răng khôn bằng máy Piezotome sẽ không đau, sau nhổ răng bệnh nhân sẽ cảm thấy ê ẩm bởi vì đó là vết thương, về nghỉ ngơi hôm sau sẽ đi làm được bình thường. Việc hạn chế xâm lấn không ảnh hưởng đến các mô mềm, khi chảy máu ít đương nhiên vết thương sẽ nhẹ và không đau.

2. Ứng dụng của máy Piezotome

Nhổ răng khôn bằng máy Piezotome là phát minh thay đổi tư duy của ngành nha khoa, không chỉ có công dụng ở nhổ răng khôn mà nó còn:
Nha khoa tổng quát
- Hỗ trợ chia cắt chân trong quá trình nhổ răng khôn
- Sử dụng trong việc xử lý bệnh nha chu viêm
- Dùng để cắt chóp trong điều trị nội nha
Nha khoa cấy ghép
- Hạn chế xâm lấn các mô mềm và hoại tử xương
- Chuẩn bị vị trí để cắm implant
- Hỗ trợ tách và mở rộng xương ổ răng
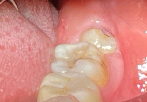
Nhổ răng khôn bằng máy Piezotome ảnh 2
Các ứng dụng của máy Piezotome đó là: phẫu thuật ghép xương xoang hàm trên, phẫu thuật xương hàm mặt, phẫu thuật chỉnh hình và loại bỏ tổn thương dạng u và nang.

3. Ưu điểm và nhược điểm nhổ răng khôn bằng máy Piezotome

Ưu điểm 
- Gần như là không đau khi máy nhổ răng giúp bóc tách răng các hệ thống dây chằng ra khỏi hệ thống xương, giúp bóc tách mô và nướu và khỏi răng nhẹ nhàng hơn.
- Tránh tổn thương sang các mô xung quanh và chọn vị trí cắt xương chính xác. 
- Sóng siêu âm không tác động vào hệ thông dây thần kinh và mạch máu.
- Giảm tê bì môi và má sau khi nhổ răng khôn bởi nhổ răng khôn bằng máy Piezotome làm giảm nguy cơ tối đa tổn thương mạch máu và dây thần kinh.
- Không gây biến chứng sau nhổ răng khôn.
- Rút ngắn thời gian nhổ răng khôn, giảm căng thẳng và độ sợ hãi của khách hàng.
- Thời gian lành thương nhanh hơn, hôm sau khách hàng đã có thể đi làm được bình thường mà không gây biến chứng.
Nhổ răng khôn bằng máy Piezotome ảnh 3
Nhược điểm
- Với nhiều lợi ích nhổ răng khôn bằng máy Piezotome mang lại thì giá thành nhổ răng sẽ cao hơn nhổ răng bằng tay nhưng chênh lệch không đáng kể.
- Hiện nay vẫn chưa phổ biến tại nhiều phòng khám.

4. Quy trình nhổ răng khôn bằng máy Piezotome

Bước 1: Thăm khám và chụp Xquang
Khách hàng sẽ được các bác sĩ chỉ định đi chụp phim và từ phim mà bác sĩ sẽ tư vấn và đưa ra cái phác đồ điều trị phù hợp dành cho khách hàng. Công đoạn này tốn thời gian nhất bởi khâu chuẩn bị kỹ càng thì quá trình nhổ răng khôn mới đạt hiệu quả cao. Cần khai thác kỹ thông tin của khách hàng bởi có những khách hàng sẽ có những bệnh lý toàn thân như máu chảy khó đông, ung thư hay phụ nữ có bầu các bác sĩ sẽ không chỉ định nhổ răng khôn. 
Nhổ răng khôn bằng máy Piezotome ảnh 4
Bước 2: Vệ sinh khoang miệng và gây tê tại chỗ
Sau khi đồng ý nhổ răng thì khách hàng sẽ được vệ sinh sạch sẽ trước khi nhổ răng, test tê xem khách hàng có bị sốc hay không, sát trùng và bắt đầu tiêm tê tại chỗ để quá trình nhổ răng khôn sẽ không đau.

Bước 3: Thực hiện nhổ răng
Sau khi gây tê thì bác sĩ sẽ tiến hành đưa đầu máy Piezotome vào để thực hiện chia cắt răng ra khỏi hệ thống mô và nướu. Sau khi đưa đầu máy vào thì các bác sĩ sẽ tiến hành dùng bẩy để tách răng ra khỏi hệ thống dây chằng và xương và thực hiện gắp răng lên. Răng khôn sau khi được lấy lên thì ổ nhổ răng sẽ được vệ sinh và kiểm tra lại rồi khâu đóng lại. 
Nhổ răng khôn bằng máy Piezotome ảnh 5
Bước 4: Tuân thủ lời dặn của bác sĩ
Sau khi nhổ răng khôn bằng máy Piezotome xong thì bệnh nhân sẽ được bác sĩ kê đơn thuốc và đặt lịch hẹn tái khám sau nhổ răng khôn. Cần tuân thủ những lời dặn và ăn uống theo bác sĩ để việc hồi phục sau nhổ răng diễn ra nhanh nhất và an toàn nhất. 

4.1 Video nhổ răng khôn bằng máy siêu âm

 

4.2 Giá máy nhổ răng siêu âm Piezotome

Giá nhổ răng khôn sẽ phụ thuộc vào: phương pháp nhổ răng, chiến lược phòng khám và bác sĩ nhổ răng cho mình. Trung bình chi phí nhổ răng khôn bằng máy Piezotome sẽ dao động từ 1.500.000 - 2.500.000. 

5. Lưu ý sau khi nhổ răng khôn bằng máy Piezotome

Nhổ răng khôn bằng máy Piezotome ảnh 6
Để quá trình lành thương sau nhổ răng khôn bằng máy Piezotome thì bệnh nhân cần lưu ý:
- Uống theo theo kê đơn của bác sĩ
- Tránh những đồ ăn quá cứng hoặc giòn để tránh làm tổn thương ổ nhổ răng, không hoạt động nhiều cơ hàm sau khi nhổ răng khôn. Cần tìm hiểu thêm hãy tham khảo Nhổ răng khôn bao lâu thì được ăn, cần kiêng gì
- Tránh những đồ ăn có chứa chất kích thích như rượu bia thuốc lá
- Định kỳ tái khám theo chỉ định của bác sĩ
- Ăn uống đầy đủ để cung cấp dưỡng chất bổ sung quá trình lành thương
- Không mút chíp khạc nhổ, nuốt nước bọt
- Có vấn đề gì liên hệ ngay bác sĩ thực hiện nhổ răng khôn để được giải đáp kịp thời

6. Các câu hỏi thường gặp khi nhổ răng khôn

Review nhổ răng bằng máy siêu âm

Các câu hỏi thường gặp về nhổ răng khôn

Răng khôn có cần thiết phải loại bỏ không
Không phải răng khôn nào cũng cần nhổ, chỉ những răng khôn bị dắt thức ăn và mọc lệch gây khó chịu, gây đau thì phải cần loại bỏ răng khôn này sớm để tránh ảnh hưởng đến răng số 7.
Nhổ răng khôn có đau không, có nguy hiểm không?
Nhổ răng khôn hiện nay sẽ không còn là nỗi sợ với nhiều người nữa bởi vì đã có công nghệ nhổ răng khôn bằng máy Piezotome hỗ trợ, nhanh lành thương và rút ngắn thời gian nhổ. Đặc biệt là dưới sự dẫn dắt bởi Đại Tá BS CK1 Nguyễn Quý Tuệ thì quá trình nhổ răng khôn sẽ không nguy hiểm đảm bảo an toàn tuyệt đối cho mình.

Tại sao răng khôn gây ra nhiều rắc rối
Răng khôn thường được mọc vào độ tuổi 17 - 25 tuổi và là chiếc răng mọc cuối cùng của cung hàm, bởi vì mọc cuối cùng nên răng khôn lại mọc dại. Việc mọc trong cùng nhưng cấu tạo cung hàm của người Việt Nam mình bé nên sẽ không có đủ chỗ để nó trưởng thành vậy nên sẽ thường mọc lệch đâm húc hỏng răng 7, hoặc mọc lợi trùm gây dắt thức ăn hôi miệng viêm đi viêm lại.

Vừa rồi Bác Sĩ Tuệ của Nha Khoa Yota đã chia sẻ cho các bạn những ưu điểm của nhổ răng khôn bằng máy Piezotome, nhổ răng khôn bây giờ rất nhanh chóng, êm ái và không còn sợ hãi như mọi người thường suy nghĩ. Nếu có thắc mắc hãy liên hệ Hotline 0354 822 822.

Các tin khác

[BẬT MÍ] Hàn răng sâu không đau, 10 phút xong

[BẬT MÍ] Hàn răng sâu không đau, 10 phút xong

Hàn răng sâu không đau là đòi hỏi kỹ thuật hàn răng và tình trạng sâu răng của khách hàng. Hãy đi hàn răng sâu sớm tránh tình trạng đau mới đi chữa lúc đó đã nguy hại cho răng miệng rồi.
(27/04/2024)
Các Loại Niềng Răng Tốt Phổ Biến Nhất Năm 2025

Các Loại Niềng Răng Tốt Phổ Biến Nhất Năm 2025

Các loại niềng răng như niềng răng mắc cài kim loại, niềng răng mắc cài sứ, niềng răng không mắc cài là những phương pháp niềng phổ biến hiện nay. Việc lựa chọn đúng phương pháp sẽ giúp bạn đạt được kết quả như mong muốn. Bài viết này sẽ giúp bạn phân loại chi tiết các loại niềng răng dựa theo phương pháp, tình trạng răng, vị trí hàm và độ tuổi.
(03/05/2025)
Hàn răng trẻ em? Có nên hàn răng sữa bị sâu

Hàn răng trẻ em? Có nên hàn răng sữa bị sâu

Hàn răng trẻ em là điều cần thiết bởi 85% trẻ em bị sâu răng và có thể lớn hơn nữa. Vậy nên việc trả lại chức năng ăn nhai cho trẻ giúp bé ăn nhai tốt hơn, phát triển toàn diện hơn về thể chất lẫn tinh thần. 
(16/04/2024)
Hướng dẫn cách chăm sóc răng niềng hiệu quả nhất tại nhà

Hướng dẫn cách chăm sóc răng niềng hiệu quả nhất tại nhà

Niềng răng là một quá trình dài hơi, đòi hỏi sự kiên trì và chăm sóc răng miệng cẩn thận. Bên cạnh việc tuân thủ các chỉ định của bác sĩ, việc vệ sinh răng niềng hiệu quả tại nhà đóng vai trò then chốt trong việc duy trì sức khỏe răng miệng và đảm bảo kết quả niềng răng tốt nhất. Bài viết này sẽ cung cấp cho bạn những hướng dẫn chi tiết về cách chăm sóc răng niềng đúng cách, từ việc lựa chọn dụng cụ phù hợp đến các kỹ thuật vệ sinh răng miệng hiệu quả.
(25/03/2025)
So sánh trước và sau niềng răng thay đổi như thế nào

So sánh trước và sau niềng răng thay đổi như thế nào

Niềng răng là xu hướng thẩm mỹ được ưu tiên hiện nay, cái răng cái tóc là góc con người vậy nên nụ cười đẹp trước và sau khi niềng răng là kết quả của sự nỗ lực của bác sĩ và bệnh nhân suốt hành trình.
(05/05/2024)
Nhổ Răng Khôn Là Gì? Quy Trình Và Các Lưu Ý Trước, Sau Khi Xử Lý

Nhổ Răng Khôn Là Gì? Quy Trình Và Các Lưu Ý Trước, Sau Khi Xử Lý

Một trong những nỗi lo lớn nhất của nhiều người là việc nhổ răng khôn. Đây là một quá trình phẫu thuật có thể gây ra đau đớn và căng thẳng cho bệnh nhân, tuy nhiên lại hoàn toàn cần thiết để duy trì sức khỏe răng miệng đầy đủ. Trong bài viết này, chúng ta sẽ cùng nhau tìm hiểu về quá trình nhổ răng khôn, từ những lí do để nhổ răng khôn, quá trình thực hiện, đến cách để chăm sóc sau khi phẫu thuật. 
(17/04/2025)
Lấy Cao Răng Là Gì? Lợi Ích Của Việc Lấy Cao Răng Bạn Cần Biết

Lấy Cao Răng Là Gì? Lợi Ích Của Việc Lấy Cao Răng Bạn Cần Biết

Cao răng (vôi răng) là những mảng bám cứng đầu, tích tụ lâu ngày trên bề mặt răng và dưới đường viền nướu. Chúng được hình thành từ các mảng bám mềm, thức ăn thừa, vi khuẩn và khoáng chất trong nước bọt. Theo thời gian, những mảng bám này bị vôi hóa, trở nên cứng chắc và khó loại bỏ bằng cách chải răng thông thường. Hãy cùng bác sĩ tìm hiểu về vấn đề lợi ích của việc lấy cao răng.
(06/04/2025)
Hướng Dẫn Cách Chải Răng Đúng Cách Tại Nhà

Hướng Dẫn Cách Chải Răng Đúng Cách Tại Nhà

Bạn có biết rằng, đằng sau nụ cười rạng rỡ là cả một quá trình chăm sóc răng miệng tỉ mỉ? Việc chải răng đúng cách không chỉ đơn thuần là thói quen hàng ngày, mà còn là nền tảng vững chắc để bảo vệ sức khỏe răng miệng, ngăn ngừa các bệnh lý nguy hiểm và duy trì sự tự tin trong giao tiếp. Hãy cùng khám phá tầm quan trọng của việc chải răng đúng cách và những lợi ích bất ngờ mà nó mang lại cho cuộc sống của bạn.
(20/03/2025)
Niềng răng có những loại nào? Nên chọn loại nào, chi phí bao nhiêu

Niềng răng có những loại nào? Nên chọn loại nào, chi phí bao nhiêu

Niềng răng hiện nay là xu hướng thẩm mỹ phổ biến nhằm khắc phục những khuyết điểm về răng như khấp khểnh, hô hoặc khớp cắn sâu. Hiện nay có rất nhiều loại niềng răng vậy nên hãy cùng Nha Khoa Yota tìm hiểu cho phí cũng như nên niềng răng loại nào nhé!
(17/06/2024)
Thời gian hàn răng sâu được bao lâu

Thời gian hàn răng sâu được bao lâu

Thời gian hàn răng sâu được bao lâu phụ thuộc vào chất hàn răng, kỹ thuật hàn răng, cách chăm sóc răng và đặc biệt là cở sở nha khoa uy tín thực hiện hàn răng cho mình.
(29/04/2024)
Địa chỉ hàn răng uy tín tại Hà Nội

Địa chỉ hàn răng uy tín tại Hà Nội

Địa chỉ hàn răng uy tín được dẫn dắt bởi Đại Tá BS CK1 Nguyễn Quý Tuệ, hàn răng không đau, cải thiện chức năng ăn nhai lẫn thẩm mỹ, ngăn ngừa sâu răng. 
(12/04/2024)
Cắt Lợi Có Nguy Hiểm Không? Bao Lâu Thì Lành

Cắt Lợi Có Nguy Hiểm Không? Bao Lâu Thì Lành

Cười hở lợi là khuyết điểm không ảnh hưởng đến tình trạng răng miệng nhưng làm mất đi tính thẩm mỹ. Nụ cười hở lợi khiến bạn cảm thấy tự ti khi nói chuyện và giao tiếp. Chính vì thế phẫu thuật cắt nướu là phương pháp giúp cải thiện tình trạng hở lợi hiệu quả. Vậy cắt lợi có nguy hiểm không?
(24/04/2025)
Nhổ Răng Khôn Kiêng Ăn Gì? Bao Lâu Thì Ăn Được

Nhổ Răng Khôn Kiêng Ăn Gì? Bao Lâu Thì Ăn Được

Nhổ răng khôn là quá trình tiểu phẫu cực kỳ đơn giản đối với các bác sĩ. Việc nhổ răng khôn kiêng ăn gì là vô cùng quan trọng để đảm bảo vết thương nhanh lành, tránh các biến chứng do răng khôn mang lại. Vậy những thực phẩm nên ăn để nhanh lành thương và không nên ăn là gì? Hãy cùng bác sĩ YOTA tìm hiểu ở bài viết sau đây!
(31/05/2025)
Bọc Răng Sứ Là Gì? Có Mấy Loại Răng Sứ

Bọc Răng Sứ Là Gì? Có Mấy Loại Răng Sứ

Bọc răng sứ là kỹ thuật phục hình răng thẩm mỹ bằng cách mài nhỏ răng thật và chụp mão sứ lên trên. Có nhiều loại răng sứ như kim loại, toàn sứ, titan, giúp cải thiện thẩm mỹ và chức năng ăn nhai. Việc lựa chọn loại răng sứ nào phụ thuộc vào tình trạng răng miệng, nhu cầu thẩm mỹ và khả năng tài chính của mỗi người. Hãy cùng bác sĩ tìm hiểu rõ hơn về vấn đề bọc răng sứ.
(14/04/2025)
Hướng Dẫn Cách Chăm Sóc Răng Miệng Cho Trẻ Đúng Cách Tại Nhà

Hướng Dẫn Cách Chăm Sóc Răng Miệng Cho Trẻ Đúng Cách Tại Nhà

Chăm sóc răng miệng cho trẻ tại nhà là một phần quan trọng trong việc đảm bảo sức khỏe tổng thể của trẻ. Việc này không chỉ giúp trẻ có một hàm răng chắc khỏe, nụ cười rạng rỡ mà còn phòng ngừa các bệnh lý răng miệng nguy hiểm. Bằng cách xây dựng những thói quen tốt từ sớm, cha mẹ có thể giúp con cái hình thành nền tảng vững chắc cho sức khỏe răng miệng suốt đời.
(30/03/2025)
Quý khách vui lòng để lại thông tin, chúng tôi sẽ liên hệ ngay!